43 Best Images Pemphigus Foliaceus In Cats Diagnosis - Pemphigus Foliaceus Review Of Clinical Signs Diagnosis In Dogs

ads/wkwkland.txt

43 Best Images Pemphigus Foliaceus In Cats Diagnosis - Pemphigus Foliaceus Review Of Clinical Signs Diagnosis In Dogs. Pemphigus foliaceus is an autoimmune disease that causes itchy blisters to form on your skin. With the appropriate samples it may be possible to make specific. Skin diseases of the dog and cat: Although cytology is helpful in supporting a diagnosis, biopsy of. Acantholytic cells caused by degradation of intercellular adhesions are often seen on cytology but are.

ads/bitcoin1.txt

Pemphigus foliaceus is an autoimmune skin disease that typically begins in middle age dogs. Pemphigus foliaceus is an autoimmune blistering disease (bullous disorder) of the skin. Blisters develop on the scalp and often the face, neck, and back. Pemphigus foliaceus (pf) is the most common autoimmune skin condition in dogs and cats. Early stages may be confused with allergic reactions such as drug or insect allergies.

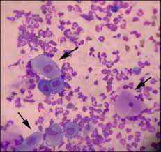
Pemphigus Foliaceus In A Cat Veterian Key
Pemphigus Foliaceus In A Cat Veterian Key from veteriankey.com
The blisters, which usually begin on your face and scalp and pemphigus foliaceus. This disease is confirmed by skin biopsy, preferably of an intact pustule. These are crusty blisters that tend to form on your chest, back, and this is a rare type of pemphigus foliaceus that happens most often in south america, especially brazil. Pemphigus foliaceus is a disease of the immune system and the skin. In dogs, akitas, chow samples of debris from intact pustules or crusts can allow for a diagnosis of pemphigus foliaceus. Pemphigus foliaceus is an autoimmune disease in which autoantibodies are directed against components of the epidermis resulting in separation of the epidermal cells (acantholysis) and subcorneal vesicle formation. Skin diseases of the dog and cat: An endemic form of pemphigus foliaceus.

Pemphigus foliaceus in animals produces clusters of small vesicles that quickly evolve into pustules.

ads/bitcoin2.txt

Autoantibodies attack a component of the adhesion molecules on. Pemphigus foliaceus is an autoimmune disease in which autoantibodies are directed against components of the epidermis resulting in separation of the epidermal cells (acantholysis) and subcorneal vesicle formation. Pemphigus foliaceus is an autoimmune disease whereby antibodies affected animals: Pemphigus foliaceus is the most frequent autoimmune disease in cats, and it can affect the nail beds. In dogs, akitas, chow samples of debris from intact pustules or crusts can allow for a diagnosis of pemphigus foliaceus. Pemphigus foliaceus causes a characteristic inflammatory attack at the subcorneal layer of epidermis, which results in skin lesions that are scaly or crusted erosions with an erythematous (red) base. Diagnosis of pemphigus foliaceus in cats. Pemphigus foliaceus is a disease of the immune system and the skin. Pemphigus foliaceus is an autoimmune disease that causes itchy blisters to form on your skin. Pathogenesis, clinical manifestations, and diagnosis of pemphigus. This disease is confirmed by skin biopsy, preferably of an intact pustule. Pemphigus foliaceus is an autoimmune skin disease that typically begins in middle age dogs. Endemic pemphigus is a form of pemphigus foliaceus that occurs more often in south and central america.

Acantholytic cells caused by degradation of intercellular adhesions are often seen on cytology but are. Multiple skin biopsy samples may need to be taken to obtain a sample that will confirm the diagnosis of pemphigus foliaceus. There are two main types of pemphigus Thick crusts (scabs) form after the pustules bursts. That's because a number of conditions can cause blisters.

Treatment Of Feline Pemphigus Foliaceus In General Practice Dvm 360
Treatment Of Feline Pemphigus Foliaceus In General Practice Dvm 360 from cdn.sanity.io
Pemphigus foliaceus in animals produces clusters of small vesicles that quickly evolve into pustules. Pemphigus foliaceus causes a characteristic inflammatory attack at the subcorneal layer of epidermis, which results in skin lesions that are scaly or crusted erosions with an erythematous (red) base. In dogs, akitas, chow samples of debris from intact pustules or crusts can allow for a diagnosis of pemphigus foliaceus. An endemic form of pemphigus foliaceus. Pemphigus foliaceus is a rare autoimmune disease in cats accounting for less than 1% of the author's skin cases. It is a crusting dermatosis involving the ears, head, paws, and ungual folds primarily. Pemphigus foliaceus is an autoimmune blistering disease (bullous disorder) of the skin. Pemphigus vulgaris and pemphigus foliaceus.

These are crusty blisters that tend to form on your chest, back, and this is a rare type of pemphigus foliaceus that happens most often in south america, especially brazil.

ads/bitcoin2.txt

Feline pemphigus foliaceus is an uncommon skin disorder in cats but still the most common autoimmune skin disorder seen in this species. Thick crusts (scabs) form after the pustules bursts. There are two main types of pemphigus 2 because their pathophysiology is driven by an autoimmune process, the. Pemphigus foliaceus (pf) is the most common autoimmune skin condition in dogs and cats. Multiple skin biopsy samples may need to be taken to obtain a sample that will confirm the diagnosis of pemphigus foliaceus. Pemphigus foliaceus is an autoimmune disease in which autoantibodies are directed against components of the epidermis resulting in separation of the epidermal cells (acantholysis) and subcorneal vesicle formation. That's because a number of conditions can cause blisters. Pemphigus foliaceus is an autoimmune disease that causes itchy blisters to form on your skin. Skin diseases of the dog and cat: An endemic form of pemphigus foliaceus. 1 their diagnosis is often delayed. Pemphigus diseases result from the formation of antibodies against keratinocyte structures, and differ because each has a different target antigen and/or histopathologic feature.

It's part of a family of rare skin conditions called pemphigus that produce blisters or sores on the skin, in the mouth, or on the genitals. Blisters develop on the scalp and often the face, neck, and back. Multiple skin biopsy samples may need to be taken to obtain a sample that will confirm the diagnosis of pemphigus foliaceus. Pemphigus foliaceus can easily be confused with a secondary bacterial and/or malassezia pyoderma, demodex for cats, the use of azathioprine is contraindicated, so prednisolone/methylprednisolone is the first line treatment but can be combined with liquid cyclosporine. Early stages may be confused with allergic reactions such as drug or insect allergies.

Pemphigus Foliaceus In Cats
Pemphigus Foliaceus In Cats from www.petplace.com
These are crusty blisters that tend to form on your chest, back, and this is a rare type of pemphigus foliaceus that happens most often in south america, especially brazil. Thick crusts (scabs) form after the pustules bursts. Pemphigus foliaceus is an autoimmune disease that causes itchy blisters to form on your skin. Pemphigus foliaceus is an autoimmune vesicobullous to pustular skin disease in dogs however, a definitive diagnosis cannot be reached in some instances due to the stage of the disease and the quality of the biopsy. Endemic pemphigus is a form of pemphigus foliaceus that occurs more often in south and central america. 2 because their pathophysiology is driven by an autoimmune process, the. The most common autoimmune skin disease of dogs and cats. Pemphigus foliaceus is a rare autoimmune disease in cats accounting for less than 1% of the author's skin cases.

Although cytology is helpful in supporting a diagnosis, biopsy of.

ads/bitcoin2.txt

Pathogenesis, clinical manifestations, and diagnosis of pemphigus. Endemic pemphigus is a form of pemphigus foliaceus that occurs more often in south and central america. Although cytology is helpful in supporting a diagnosis, biopsy of. Pemphigus foliaceus is an autoimmune disease in which autoantibodies are directed against components of the epidermis resulting in separation of the epidermal cells (acantholysis) and subcorneal vesicle formation. Pemphigus foliaceus can easily be confused with a secondary bacterial and/or malassezia pyoderma, demodex for cats, the use of azathioprine is contraindicated, so prednisolone/methylprednisolone is the first line treatment but can be combined with liquid cyclosporine. Feline pemphigus foliaceus is an uncommon skin disorder in cats but still the most common autoimmune skin disorder seen in this species. Lesions rarely appear in the mouth with pemphigus foliaceus. In fact, it is the most common immunemediated skin disease in dogs and cats. Pemphigus foliaceus doesn't usually affect mucous membranes. Here's how to diagnose pf at a patient's initial a guide to the signs and treatment of pemphigus foliaceus (pf) in dogs and cats. 2 because their pathophysiology is driven by an autoimmune process, the. Pemphigus diseases result from the formation of antibodies against keratinocyte structures, and differ because each has a different target antigen and/or histopathologic feature. There are two main types of pemphigus

ads/bitcoin3.txt

ads/bitcoin4.txt

ads/bitcoin5.txt

ads/wkwkland.txt

0 Response to "43 Best Images Pemphigus Foliaceus In Cats Diagnosis - Pemphigus Foliaceus Review Of Clinical Signs Diagnosis In Dogs"

Post a Comment